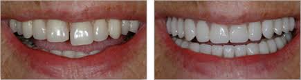
About Tooth Reshaping & Contouring
At Toothyβs Dental Solutions in Hyderabad, we use precise techniques and advanced tools to perform reshaping safely and accurately. Our specialists ensure that the procedure enhances both aesthetics and dental health.
This treatment is ideal for correcting issues such as uneven edges, small chips, slight overlaps, or irregular tooth shapes. It provides immediate results and improves the overall symmetry of your smile.
Tooth contouring is often combined with other cosmetic procedures like bonding or teeth whitening to achieve optimal results. It is a quick and minimally invasive treatment with no downtime.
Our experienced dental team ensures a comfortable and precise treatment process. With proper care, the results of tooth reshaping can last for a long time, enhancing your smile and confidence.
Book Appointment WhatsApp Us
Our Specialist
Dr. Mohammed Haroon Rasheed
Dr. Mohammed Haroon Rasheed is an experienced dental specialist with expertise in cosmetic dentistry, including tooth reshaping and contouring. He focuses on delivering precise, natural-looking results that enhance both aesthetics and oral health.
Why Choose Us?
- β Experienced cosmetic dental specialists ensuring precise reshaping
- β Use of advanced tools for safe and accurate contouring
- β Minimally invasive procedure with immediate results
- β Customized treatment plans based on individual smile aesthetics
- β Comfort-focused and painless procedure
- β Strict hygiene and sterilization protocols for patient safety
- β Comprehensive care for long-lasting aesthetic results
What is Tooth Reshaping & Contouring?
Tooth reshaping and contouring is a simple and effective cosmetic dental procedure used to correct minor imperfections in teeth. It involves carefully removing small amounts of enamel to improve the shape, length, or surface of teeth..
Types of Tooth Reshaping & Contouring
- Enamel reshaping for correcting minor surface irregularities
- Edge contouring to smooth uneven or chipped edges
- Length adjustment to create uniform tooth size
- Combination contouring with bonding for enhanced results
- Cosmetic contouring as part of smile designing procedures
Who Needs This?
Tooth reshaping and contouring is ideal for individuals with minor imperfections such as uneven teeth, small chips, irregular shapes, or slight overlaps. It is suitable for those looking for a quick and minimally invasive solution to improve their smile.

