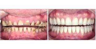
About Fixed Teeth Replacement (Dental Bridges & Crowns)
At Toothy’s Dental Solutions in Hyderabad, we use advanced materials and modern techniques to design crowns and bridges that closely match the color and shape of natural teeth. Our specialists carefully evaluate your dental condition to ensure precise fitting and long-lasting results.
Dental bridges are used to replace one or more missing teeth by anchoring them to adjacent natural teeth or implants, while crowns are used to cover and protect damaged or weakened teeth. Together, they restore both function and aesthetics effectively.
These treatments not only enhance the appearance of your smile but also prevent adjacent teeth from shifting and maintain proper bite alignment. This helps in preserving overall oral health and facial structure.
Our experienced dental team ensures a comfortable and precise treatment process, focusing on durability and patient satisfaction. With proper care and regular check-ups, dental crowns and bridges can last for many years.
Book Appointment WhatsApp Us
Our Specialist
Dr. Mohammed Haroon Rasheed
Dr. Mohammed Haroon Rasheed is an experienced dental specialist with expertise in prosthodontics, including dental crowns and bridges. He is dedicated to providing precise, durable, and aesthetically pleasing restorations tailored to each patient’s needs using advanced techniques and materials.
Why Choose Us?
- ✔ Experienced prosthodontic specialists ensuring accurate crown and bridge placement
- ✔ Use of high-quality materials for long-lasting and natural-looking restorations
- ✔ Advanced technology for precise design and fitting
- ✔ Customized treatment plans based on individual dental conditions
- ✔ Comfort-focused procedures with minimal discomfort
- ✔ Strict hygiene and sterilization protocols for patient safety
- ✔ Comprehensive care including consultation, treatment, and follow-up support
What is Fixed Teeth Replacement (Dental Bridges & Crowns)?
Fixed teeth replacement involves the use of dental bridges and crowns to restore missing or damaged teeth permanently. Unlike removable dentures, these restorations are securely fixed in place, providing a natural feel and appearance. They help restore chewing ability, speech, and overall dental function..
Types of Fixed Teeth Replacement (Dental Bridges & Crowns)
- Traditional dental bridges anchored to adjacent teeth for replacing missing teeth
- Cantilever bridges used when support is available on only one side
- Maryland bridges using metal or porcelain framework for minimal tooth preparation
- All-ceramic crowns offering superior aesthetics and natural appearance
- Metal-ceramic crowns combining strength and aesthetics for durability
- Zirconia crowns providing high strength, durability, and excellent aesthetics
Who Needs This?
Fixed teeth replacement is ideal for individuals with one or more missing or damaged teeth who prefer a permanent solution. It is suitable for patients looking to restore function, improve aesthetics, and maintain proper dental alignment without using removable appliances.

