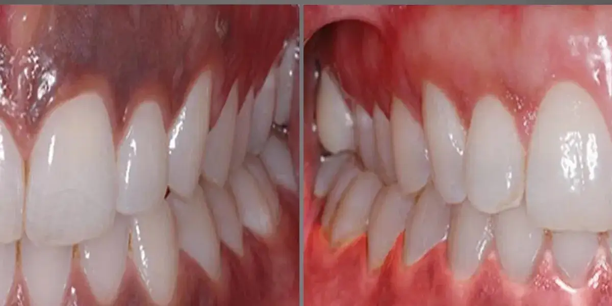
About Teeth Polishing
At Toothyβs Dental Solutions in Hyderabad, we use advanced polishing techniques and high-quality equipment to ensure safe and effective results. Our specialists focus on maintaining both aesthetics and oral health.
Polishing not only enhances the shine of your teeth but also makes it harder for plaque and bacteria to accumulate. This helps in maintaining long-term oral hygiene and reducing the risk of gum disease.
The procedure is quick, painless, and suitable for individuals of all ages. It is often recommended as part of regular dental check-ups and cleaning routines.
Our experienced dental team ensures a comfortable and efficient treatment process. With regular polishing and proper oral care, you can maintain a clean, bright, and healthy smile.
Book Appointment WhatsApp Us
Our Specialist
Dr. Mohammed Haroon Rasheed
Dr. Mohammed Haroon Rasheed is an experienced dental specialist with expertise in preventive and general dentistry. He focuses on maintaining oral hygiene and delivering effective treatments like teeth polishing to ensure healthy and bright smiles.
Why Choose Us?
- β Experienced dental professionals ensuring safe and effective polishing
- β Use of advanced equipment for gentle and thorough cleaning
- β Focus on preventive care and long-term oral health
- β Comfort-focused and painless procedure
- β Strict hygiene and sterilization protocols for patient safety
- β Personalized care based on individual dental needs
- β Regular follow-up and oral hygiene guidance
What is Teeth Polishing?
Teeth polishing is a professional dental procedure that smoothens and cleans the tooth surface, removing stains and plaque to enhance shine and oral hygiene..
Types of Teeth Polishing
- Rubber cup polishing using a rotating cup and polishing paste
- Air polishing using pressurized air, water, and powder for stain removal
- Selective polishing targeting specific stained areas
- Fluoride polishing for added protection against decay
- Advanced polishing techniques for sensitive teeth
Who Needs This?
Teeth polishing is suitable for individuals with surface stains, plaque buildup, or dull-looking teeth. It is recommended for those looking to maintain good oral hygiene, improve the appearance of their smile, and prevent dental issues.

